What is Lymphoedema?

Lymphoedema is a condition characterized by the swelling of a part of the body, usually an arm or leg, due to a build-up of lymph fluid. This fluid accumulates when the lymphatic system, which helps remove excess fluid and waste from tissues, is damaged or obstructed. Lymphoedema can be primary (inherited) or secondary to other factors such as surgery, radiation therapy, or infections that affect the lymphatic system. The swelling can cause discomfort and may lead to infections or other complications if not managed properly.

Stages of Lymphoedema

Lymphedema progresses through several stages, each with different characteristics:

  1. Stage 0 (Latency Stage): There is no visible swelling, but the lymphatic system is compromised. People may feel a sense of heaviness or discomfort in the affected area.
  2. Stage 1 (Mild Lymphedema): Swelling is soft and may be pitting, meaning an indentation remains when pressed. The swelling usually improves with elevation and may be temporary.
  3. Stage 2 (Moderate Lymphedema): The swelling becomes more pronounced and may be non-pitting, with a more fibrous or hard texture. The skin may begin to show signs of changes, such as increased tightness or thickening.
  4. Stage 3 (Severe Lymphedema): Swelling is severe, with significant skin changes like hyperkeratosis (thickened skin) and papillomatosis (wart-like growths). The affected area may be hard and tough, and complications such as infections can occur.

Image
Image
Image

How Lymphoedema works

The lymphatic system is a crucial part of the body's immune and fluid regulation systems. It works as follows:

  1. Fluid Drainage: The lymphatic system collects excess interstitial fluid (the fluid between cells) from tissues and returns it to the bloodstream. This fluid is called lymph once it enters the lymphatic vessels.
  2. Lymphatic Vessels: Lymph fluid travels through a network of vessels. These vessels have one-way valves that prevent backflow and ensure lymph flows in the right direction towards the lymph nodes and eventually the bloodstream.
  3. Lymph Nodes: Scattered throughout the body, lymph nodes filter lymph fluid, trapping bacteria, viruses, and other harmful substances. They also house immune cells that help fight infections.
  4. Lymphatic Organs: Major lymphatic organs include the spleen, thymus, and tonsils. The spleen filters blood and helps remove old red blood cells, while the thymus is crucial for developing T-cells, a type of immune cell. Tonsils trap pathogens entering through the mouth and throat.
  5. Return to Circulation: After being filtered by the lymph nodes and passing through the lymphatic vessels, lymph fluid is returned to the bloodstream through the thoracic duct or the right lymphatic duct, depending on the body's side. Overall, the lymphatic system helps maintain fluid balance, facilitates immune responses, and removes waste products from tissues.

Diagnosis of Lymphoedema

Diagnosing lymphedema typically involves a combination of clinical evaluation and diagnostic tests. Here are some common methods used:

Tests

Diagnosing lymphedema typically involves a combination of clinical evaluation and diagnostic tests. Here are some common methods used:

  1. Physical Examination: A healthcare provider will assess symptoms such as swelling, skin changes, and the pattern of swelling. They may perform measurements of the affected limbs to compare with unaffected areas.
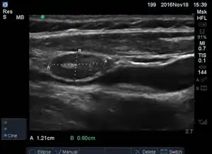
  2. Imaging Tests:
    1. - Ultrasound: Can help assess the fluid buildup and rule out other conditions.
      1. lymph9
    2. - MRI (Magnetic Resonance Imaging): Provides detailed images of tissues and can identify the extent of swelling and changes in the lymphatic system.
    3. - CT Scan (Computed Tomography): Helps visualize the lymphatic system and identify any obstructions or abnormalities.
  3. Lymphoscintigraphy: A specialized imaging test where a radioactive tracer is injected into the lymphatic system. It tracks the flow of lymph and helps assess the function and structure of lymph vessels.
  4. Bioimpedance Spectroscopy: Measures changes in electrical impedance in the affected limb, which can help detect changes in fluid volume and differentiate between lymphedema and other conditions.
  5. Circumferential Measurement: Measuring the circumference of the limb at various points to detect swelling over time.
    1. lymph4
  6. Volumetric Measurement: Determines the volume of the limb using water displacement or other techniques to assess changes in swelling.

Early diagnosis and appropriate testing are crucial for effective management and treatment of lymphedema.

Causes

Lymphedema can arise from various causes, broadly classified into primary and secondary types:

  1. Primary Lymphedema: This form is often congenital or hereditary and results from a malformation or dysfunction in the lymphatic system.
    1. - Congenital Lymphedema: Present at birth or develops in early childhood. Conditions such as Milroy's disease and Meige's disease fall under this category.
      1. lymph6
    2. - Inherited Lymphedema: Linked to genetic mutations and may develop later in life, such as in the case of primary lymphedema that starts during puberty or adulthood.

  2. Secondary Lymphedema: This occurs due to damage or obstruction of the lymphatic system caused by external factors.
    1. - Surgical Procedures: Removal of lymph nodes during surgery for cancer (e.g., breast cancer surgery) can disrupt lymph flow.
      1. lymph7
    2. - Radiation Therapy: Used in cancer treatment, it can cause scarring and damage to the lymphatic vessels.
    3. - Infections: Infections like lymphatic filariasis, which can cause lymph node damage and obstruction.
    4. - Trauma or Injury: Physical injury to the lymphatic system or vessels.
    5. - Cancer: Tumors can block lymphatic vessels or nodes.
    6. - Chronic Venous Insufficiency: Poor venous circulation can contribute to the development of lymphedema.


Understanding the cause of lymphedema is essential for determining the appropriate treatment and management strategies.

What is Lipodema?

Lipedema is a chronic condition characterized by the abnormal accumulation of fat in the lower body, particularly the legs and buttocks.

This fat accumulation is often symmetrical and resistant to diet and exercise.

Unlike typical obesity, lipedema does not usually affect the upper body, and the condition often leads to pain, swelling, and easy bruising in the affected areas.

Lipedema can be misdiagnosed as simple obesity or lymphoedema, but it has distinct features and may require specific treatments.

Management typically includes conservative measures like compression garments, manual lymphatic drainage, and, in some cases, liposuction.

lymph8